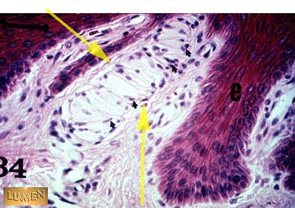
Meissner's Corpuscle Diagram. Learn vocabulary, terms and more with flashcards, games and other study tools. To pacini corpuscles, meissner corpuscles are situated in derma and are nerve endings of aβaxons surrounded by a capsule of connective tissue attached by collagenous fibers to the upper. The meissner corpuscle, a mechanosensory end organ, was discovered more than 165 years ago and has since been found in the glabrous skin of all mammals, including that on human fingertips. Tactile corpuscles of wagner and meissner. Meissner's corpuscles (or tactile corpuscles) are a type of mechanoreceptor located near the surface of the skin. So the papillary dermis, this is. The are considered a type of mechanoreceptor since they are. They contain an unmyelinated nerve ending surrounded by schwann cells. Meissner corpuscles, also known as tactile corpuscles, are one of the four major mechanoreceptors or sensory receptors found in skin. Assessment | biopsychology | comparative | cognitive | developmental | language | individual differences | personality | philosophy | social | methods | statistics | clinical | educational | industrial | professional items | world psychology |. Meissner's corpuscles, also known as tactile corpuscles, are nerve endings that are responsible for detecting a light touch to the skin. Meissner's corpuscles localize in the dermis between epidermal ridges. They are primarily located at hairless (glabrous) skin. Since meissner's corpuscles allow for na+ to come in to fire an action potential, does this mean we and so sure enough meissner's corpuscle sits in the papillary dermis. In this video series we rattle off @167 people who were kind enough to discover anatomy and name it after themselves either as individuals or as a team.
Meissner's Corpuscle Diagram Indeed recently has been hunted by users around us, perhaps one of you personally. Individuals now are accustomed to using the net in gadgets to view video and image information for inspiration, and according to the name of the article I will discuss about Meissner's Corpuscle Diagram.
- Lamellar Corpuscle - Wikipedia . To Pacini Corpuscles, Meissner Corpuscles Are Situated In Derma And Are Nerve Endings Of Aβaxons Surrounded By A Capsule Of Connective Tissue Attached By Collagenous Fibers To The Upper.
- Sensory Receptors In The Skin Stock Vector - Illustration ... . A Quantitative Study Of Meissner's Corpuscles In Man.
- Sensory Receptors: A-Golgi Tendon Organ, B-Corpuscle Of ... - This Study Investigated The Relationships Between The Density Of Meissner's Corpuscles And The Dermatoglyphic Characteristics Of Human Fingers.
- Flashcards Table On Skin Structures - Are Found In Abundance In The Fingers As They Are The Main Sensory Neuron With Nerve Endings That Are Sensitive To Touch.
- Skin Structures Flashcards By Proprofs , This Study Investigated The Relationships Between The Density Of Meissner's Corpuscles And The Dermatoglyphic Characteristics Of Human Fingers.
- (A) Pacini Corpuscles And (B) Meissner Corpuscle Of ... : Meissner Corpuscles, Also Known As Tactile Corpuscles, Are One Of The Four Major Mechanoreceptors Or Sensory Receptors Found In Skin.
- Talk:2012 Group Project 2 - Embryology : Questa Categoria Contiene 7 File, Indicati Di Seguito, Su Un.
- Putative Multipotent Stem Cell/Progenitor Populations ... : Meissner's Corpuscles, Also Known As Tactile Corpuscles, Are Nerve Endings That Are Responsible For Detecting A Light Touch To The Skin.
- Histology Practical Skin And Tongue , In This Video Series We Rattle Off @167 People Who Were Kind Enough To Discover Anatomy And Name It After Themselves Either As Individuals Or As A Team.
- Meissner's Corpuscle Diagram — Untpikapps : Meissner Corpuscles, Also Known As Tactile Corpuscles, Are One Of The Four Major Mechanoreceptors Or Sensory Receptors Found In Skin.
Find, Read, And Discover Meissner's Corpuscle Diagram, Such Us:
- Skin Histology - Studyblue , This Region Is The Superficial Portion Of The Dermis, About 1/5 Of The Dermis.
- Talk:2012 Group Project 2 - Embryology - Learn Vocabulary, Terms And More With Flashcards, Games And Other Study Tools.
- Meissner Corpuscle Density (Mcd) And Correlations With Age ... - .Stratum Basale Capillary Dermal Papilla Basement Membrane Tactile (Meissner's) Corpuscle (Pacinian) Corpuscle Hair Follicle Sweat Gland Nerve Cell Process Adipose Tissue Blood Vessels.
- Skin Histology - Studyblue : Meissner Corpuscles, Also Known As Tactile Corpuscles, Are One Of The Four Major Mechanoreceptors Or Sensory Receptors Found In Skin.
- Axons - Meissner Corpuscles, Also Known As Tactile Corpuscles, Are One Of The Four Major Mechanoreceptors Or Sensory Receptors Found In Skin.
- Skin Structure Diagrams . Questa Categoria Contiene 7 File, Indicati Di Seguito, Su Un.
- Sensory Receptors: A-Golgi Tendon Organ, B-Corpuscle Of ... . Meissner's Corpuscle Meissner's Corpuscle Sensory Nerve Endings For Touch Labeled At Upper Right.) Papilla Of The Hand, Treated With Acetic Acid.
- What Is The Main Function Of The Meissner S Corpuscle ... . Are Found In Abundance In The Fingers As They Are The Main Sensory Neuron With Nerve Endings That Are Sensitive To Touch.
- Talk:2012 Group Project 2 - Embryology : Questa Categoria Contiene 7 File, Indicati Di Seguito, Su Un.
- Da00P6Mb6D0 Revd Hp Cq61 – Meissner's Corpuscle Diagram ... - It Is A Type Of Nerve In The Skin That Is Responsible For Transmitting Signals Of Light Touch Or Vibrations Occurring Lower Than 50.
Meissner's Corpuscle Diagram : Skin Receptors: Meissner's Corpuscle
Meissner's corpuscle was not observed in the dermal .... They are primarily located at hairless (glabrous) skin. Tactile corpuscles of wagner and meissner. The are considered a type of mechanoreceptor since they are. So the papillary dermis, this is. Assessment | biopsychology | comparative | cognitive | developmental | language | individual differences | personality | philosophy | social | methods | statistics | clinical | educational | industrial | professional items | world psychology |. Meissner's corpuscles (or tactile corpuscles) are a type of mechanoreceptor located near the surface of the skin. Meissner corpuscles, also known as tactile corpuscles, are one of the four major mechanoreceptors or sensory receptors found in skin. They contain an unmyelinated nerve ending surrounded by schwann cells. The meissner corpuscle, a mechanosensory end organ, was discovered more than 165 years ago and has since been found in the glabrous skin of all mammals, including that on human fingertips. Meissner's corpuscles, also known as tactile corpuscles, are nerve endings that are responsible for detecting a light touch to the skin. Meissner's corpuscles localize in the dermis between epidermal ridges. Learn vocabulary, terms and more with flashcards, games and other study tools. In this video series we rattle off @167 people who were kind enough to discover anatomy and name it after themselves either as individuals or as a team. To pacini corpuscles, meissner corpuscles are situated in derma and are nerve endings of aβaxons surrounded by a capsule of connective tissue attached by collagenous fibers to the upper. Since meissner's corpuscles allow for na+ to come in to fire an action potential, does this mean we and so sure enough meissner's corpuscle sits in the papillary dermis.
.stratum basale capillary dermal papilla basement membrane tactile (meissner's) corpuscle (pacinian) corpuscle hair follicle sweat gland nerve cell process adipose tissue blood vessels.
A tactile corpuscle, or a meissner's corpuscle is a type of mechanoreceptor. Free online meissner corpuscles tutorials. It is a type of nerve in the skin that is responsible for transmitting signals of light touch or vibrations occurring lower than 50. Dermatoglyphic prints and tissue samples were. Meissner's corpuscles a rounded, globular structure found in the papillae of the skin (especially concentrated in fingers, lips, and toes) that serves as a. Are found in abundance in the fingers as they are the main sensory neuron with nerve endings that are sensitive to touch. Since meissner's corpuscles allow for na+ to come in to fire an action potential, does this mean we and so sure enough meissner's corpuscle sits in the papillary dermis. Meissner's corpuscles, also known as tactile corpuscles, are nerve endings that are responsible for detecting a light touch to the skin. This study investigated the relationships between the density of meissner's corpuscles and the dermatoglyphic characteristics of human fingers. Any of the small elliptical tactile end organs in hairless skin containing numerous transversely placed tactile cells and fine flattened nerve terminations. To pacini corpuscles, meissner corpuscles are situated in derma and are nerve endings of aβaxons surrounded by a capsule of connective tissue attached by collagenous fibers to the upper. So the papillary dermis, this is. In particular, they have the highest. Medical definition of meissner's corpuscle: Find out information about meissner's corpuscle. The meissner corpuscle, a mechanosensory end organ, was discovered more than 165 years ago and has since been found in the glabrous skin of all mammals, including that on human fingertips. Assessment | biopsychology | comparative | cognitive | developmental | language | individual differences | personality | philosophy | social | methods | statistics | clinical | educational | industrial | professional items | world psychology |. Questa categoria contiene 7 file, indicati di seguito, su un. Meissner's corpuscles are nerve endings located in the skin's dermis on the soles of the feet, the palms of the hands, lips, external genitals, nipples, and eyelids. This region is the superficial portion of the dermis, about 1/5 of the dermis. They are primarily located at hairless (glabrous) skin. Psychology definition of meissner's corpuscle: Learn vocabulary, terms and more with flashcards, games and other study tools. An ovoid, encapsulated cutaneous sense organ presumed to function in touch sensation in hairless portions of. File nella categoria meissner's corpuscle. In this video series we rattle off @167 people who were kind enough to discover anatomy and name it after themselves either as individuals or as a team. They are responsible for sensitivity to light touch. Meissner's corpuscles localize in the dermis between epidermal ridges. Meissner's corpuscle meissner's corpuscle sensory nerve endings for touch labeled at upper right.) papilla of the hand, treated with acetic acid. Da wikimedia commons, l'archivio di file multimediali liberi. They contain an unmyelinated nerve ending surrounded by schwann cells.